Saltar al contenido
SALUD FEMENINA
INFORMACIÓN PRÁCTICA PARA EL CUIDADO DE TU SALUD Y EMBARAZO
Cerrar
cerrado
INICIO
Acerca de mi:
Servicios y Costos
Ubicación y horarios de atención
Contacto
Menú
expandido
Previous Image
Siguiente imagen
dental 1
Me gusta
Cargando...
Navegación de entradas
Publicado en
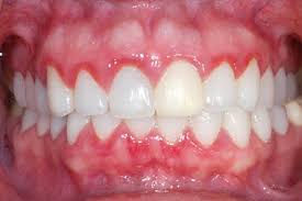
Gingivitis del embarazo, que es y cómo prevenirla, ¡evita perder piezas dentales!.
Deja un comentario
Cancelar la respuesta
Δ
SALUD FEMENINA
Regístrate
Iniciar sesión
Copiar enlace corto
Denunciar este contenido
Gestionar las suscripciones
%d